القسطرة القلبية الجديدة بفاقوس المركزي بالشرقية تصل إلى ١٠٠ حالة في أقل من شهرين
حسين السيد
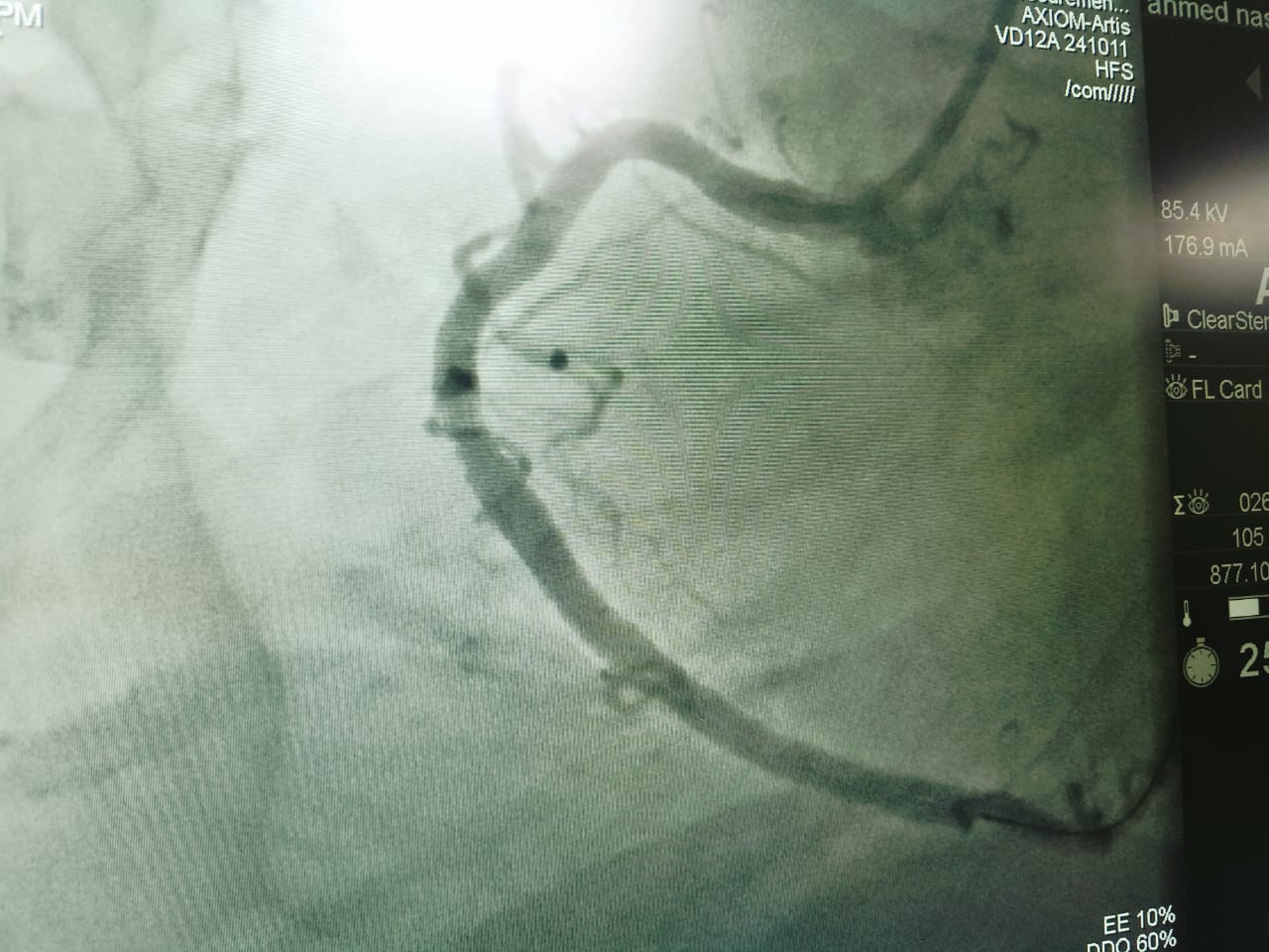
صرح الدكتور أحمد البيلي وكيل وزارة الصحة بالشرقية بأن الفريق الطبي بقسم القسطرة القلبية بمستشفى فاقوس المركزي، بقيادة الدكتور محمد عبدالحكم استشاري أمراض القلب بهيئة المعاهد التعليمية، والدكتور نادر أبوهاشم استشاري أمراض القلب، والدكتور عبدالرحمن عادل استشاري أمراض القلب بجامعة الزقازيق، والدكتور لؤي علي استشاري أمراض القلب بالجامعة، وبمشاركة الفريق الطبي بالمستشفى والذي يضم الدكتور مدحت الحيوان استشاري أمراض القلب، والدكتور محمد عبدالمحسن أخصائي أمراض القلب، وهيئة التمريض آية طه، وهند أمين، وممدوح السيد، وتسنيم محمود، وفريق قسم الأشعة أحمد رضوان، ونور سامح، وتحت إشراف الدكتور شريف شاهين مدير عام الطب العلاجي والمشرف العام على جراحات القلب المفتوح والقسطرة القلبية بمديرية الشئون الصحية بالشرقية، والدكتور نصر شعبان مدير إدارة الرعاية الحرجة والعاجلة بالمديرية، والدكتور أحمد الشوادفي مدير المستشفى، نجح في الوصول إلى إجراء عدد ١٠٠ قسطرة قلبية تشخيصية وعلاجية وذلك في أقل من شهرين منذ بدء تشغيل وحدة القسطرة القلبية الجديدة بالمستشفى.

ويأتي ذلك في إطار مبادرة فخامة الرئيس عبدالفتاح السيسي رئيس الجمهورية بالإنتهاء من قوائم الإنتظار، ورفع الأعباء عن المريض المصري، وتنفيذاً لتوجيهات الدكتور خالد عبدالغفار وزير الصحة والسكان، والمهندس حازم الأشموني محافظ الشرقية، وتعليمات الدكتور أحمد البيلي وكيل وزارة الصحة بالشرقية، برفع كفاءة الخدمات الطبية المقدمة للمرضى بمستشفيات الصحة بالمحافظة، تحت إشراف الدكتور بهاء أبو شعيشع وكيل المديرية.
وأشاد الدكتور أحمد البيلي وكيل وزارة الصحة بالجهود الكبيرة المخلصة من الفريق الطبي بمستشفى فاقوس المركزي، والأداء المتميز منذ انطلاق تشغيل الوحدة، والوصول إلى هذا العدد من الحالات في فترة زمنية وجيزة، خاصة خلال الفترة الماضية خلال شهر رمضان المبارك، بما يدل على الكفاءة العالية للفريق الطبي لإنقاذ حياة المرضى، مؤكداً أن وحدة القسطرة القلبية بمستشفى فاقوس المركزي تمثل إضافة قوية لمنظومة خدمات القلب بمحافظة الشرقية، وتساهم بشكل كبير في تقليل قوائم الانتظار وتقديم خدمة طبية متميزة لأهالي مركز ومدينة فاقوس والمراكز المحيطة بها خاصة بشمال المحافظة.
وأشار محمود عبدالفتاح مدير الإعلام والعلاقات العامة بالمديرية، إلى أن حالات القسطرة القلبية المائة التي تم إجراؤها بمستشفى فاقوس المركزي منذ تشغيل الوحدة في ٢٤ فبراير الماضي، تنوعت ما بين ٥٩ حالة قسطرة تشخيصية، و٤١ حالة قسطرة علاجية والتي تضمنت تركيب دعامات وتوسيع الشرايين باستخدام البالون، وتم خلالها إنقاذ حياة العديد من الحالات الطارئة الحرجة، وتم خروج جميع المرضى بفضل الله بحالة جيدة، بعد تقديم الرعاية الطبية اللازمة لهم قبل وبعد إجراء القسطرة القلبية بالمستشفى.